Hàm ốc nong nhanh - thiết bị nắn chỉnh nha khoa
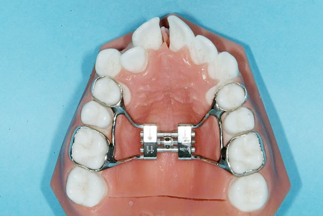
- Dụng cụ nắn chỉnh nha khoa hàm ốc nong nhanh có tác dụng mở rộng nhanh các răng, ở giữa hàm có con ốc vít giúp đẩy 2 bên hàm răng trái và phải nhanh hơn so với hàm nắn QuardHelix và các loại hàm nắn chỉnh khác. hàm nắn ốc nong nhanh

Ảnh chụp hàm nắn ốc nong nhanh được gắn với hàm giả
- Hàm ốc nong nhanh được sử dụng cho trẻ em có hàm và xương trong giai đoạn phát triển, hầu như toàn bộ hàm ốc nong nhanh này được thiết kế ở mặt sau của răng. Hàm được làm bằng chất liệu titan hoặc hợp kim kim loại dùng trong nha khoa.
- Lần đầu sử dụng sẽ khiến bệnh nhân gặp khó chịu và không quen, các bác sĩ và người nhà cần động viện bé để duy trì thời gian điều trị.

Hàm nắn ốc nong nhanh gắn vào sắp răng
- Minh Long Dental Lab nhận đặt làm mọi loại hàm nắn chỉnh và hàm tháo lắp theo yêu cầu của các quý bác sĩ và phòng khám, chúng tôi đảm bảo sẽ mang đến cho quý khách hàng những sản phẩm chất lượng tốt nhất. Xem thêm các sản phẩm khác như: Máng tẩy trắng răng, răng toàn sứ Zirconia ...
Là loại hàm nắn có tác dụng như tên gọi, là dụng cụ nắn chỉnh nha khoa có tác dụng mở rộng nhanh các răng.












Số người online : 0001
Lượt truy cập : 305424